Егор Ивахненко

    Стоматолог-терапевт
    Взрослые

    Обо мне

    Здравствуйте! Меня зовут Ивахненко Егор Игоревич, я стоматолог-терапевт.

    В первую очередь я стараюсь сделать так, чтобы лечение зубов было понятным, спокойным и комфортным для пациента. Хорошо знаю, что у многих людей есть страх перед стоматологом — и считаю, что моя задача как врача не только качественно вылечить зуб, но и помочь человеку чувствовать себя уверенно в кресле.

    Занимаюсь лечением кариеса, пульпита, периодонтита, воспалением десен, восстановлением зубов после повреждений, сильно разрушенных зубов. Всегда объясняю, что именно я делаю и зачем — простыми словами, без сложных медицинских терминов. 


    В своей работе использую современные материалы, методики и операционный микроскоп, чтобы результат был не только надёжным, но и эстетичным. С удовольствием подберу индивидуальные средства гигиены полости рта, покажу и расскажу о правильных техниках чистки зубов.

    Для меня важно сохранить зубы пациента как можно дольше. Я за бережный подход, при котором мы лечим то, что нужно, не больше и не меньше.

    Буду рад помочь вам сохранить здоровье и красоту вашей улыбки!

    Научная деятельность

    2025 г. "Нехирургическое эндодонтическое лечение", Арнальдо Кастеллуччи


    2025 г. "Отбеливание зубов", Андрей Акулович


    2025 г. "Микроабразия, Icon" Рустам Ялышев


    2025 г. "Сложное эндодонтическое лечение, минерал триоксид агрегат, техника работы", Дмитрий Николаев


    2025 г. "Повторная эндодонтия", Дмитрий Николаев

    2024 г. "Лечение апикальных периодонтитов". Дмитрий Николаев


    2024 г. "ProИзоляцию и Reставрацию", Михаил Ладягин


    2024 г. "Базовый теоретически практический курс по коффердаму и эндодонтии. Ахмедов Насрула


    2023 г. "Реставрации фронтальных зубов. Травма, апексогенез, апексификация". Ильдар Саркаров


    2023 г. " II class. Level up", Сергей Елисеев


    2022 г. "Изоляция в терапевтической стоматологии", Михаил Ладягин

    Примеры работ

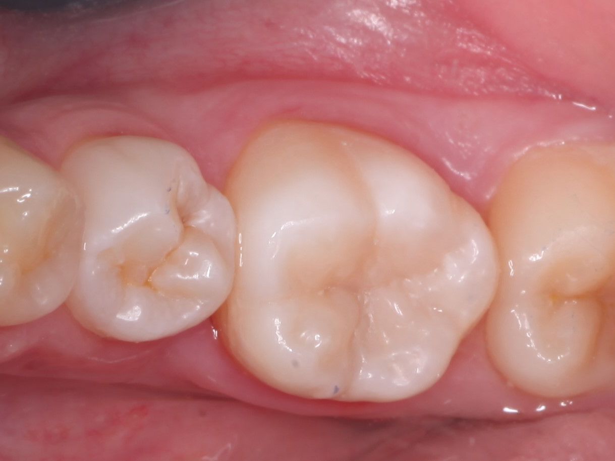
    • Замена несостоятельных пломб, лечение

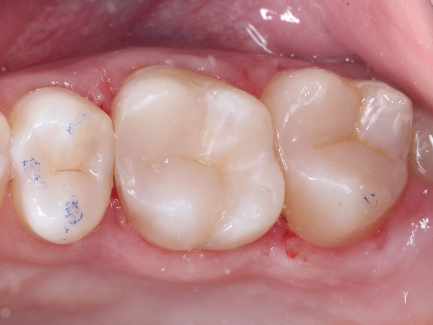
    • Замена несостоятельных пломб, лечение

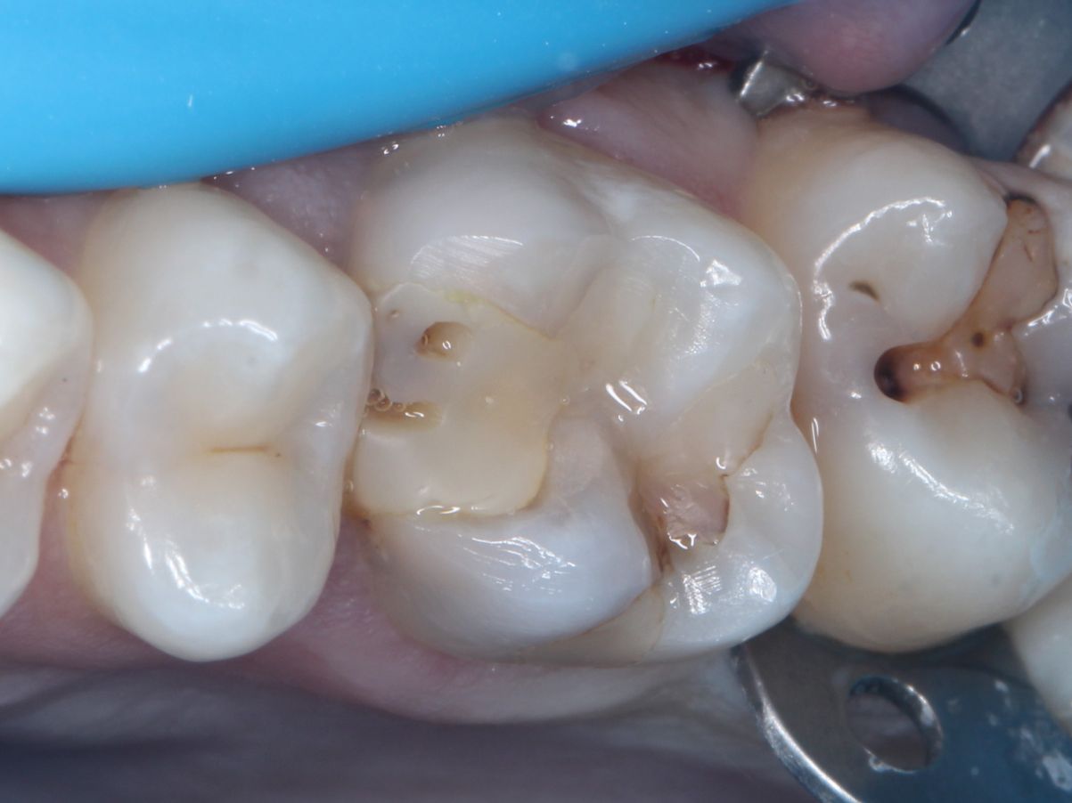
    • Замена несостоятельных пломб, лечение

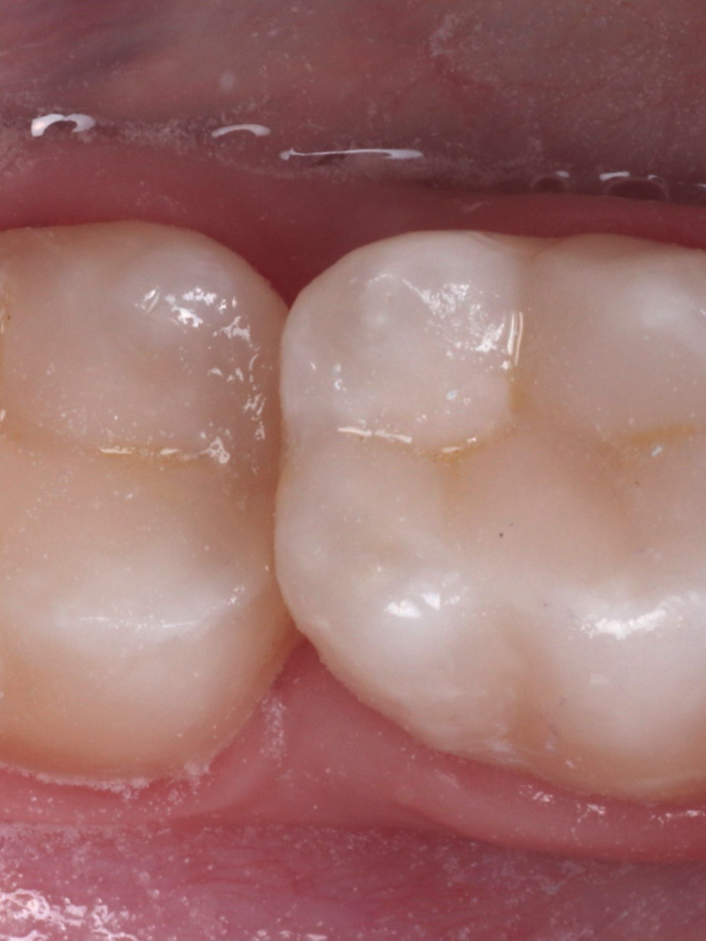
    • Замена несостоятельных пломб и лечение кариеса передней группы зубов

    • Замена несостоятельных пломб, лечение